頭痛の疾患・症例
-
頭痛とめまい
目次
頭痛とめまいが同時に起きたら?原因・危険なサイン・対処法を専門医が解説
「頭痛とめまいが一緒に起こるのはなぜ?」「危険な病気のサイン?」「どう対処すればいい?」
そんな疑問や不安に、脳神経内科専門医が分かりやすくお答えします。
こんな症状ありませんか?セルフチェックリスト
-
突然、今までにない激しい頭痛が起こった
-
頭痛と同時に吐き気や嘔吐がある
-
めまいと一緒に手足のしびれや麻痺、言葉が出にくい
-
物が二重に見える
-
意識がもうろうとする、倒れそうになる
-
発熱やけいれんを伴う
上記に当てはまる場合は、すぐに医療機関を受診しましょう。
一方、慢性的な頭痛や軽いめまいの場合は、生活習慣やストレスが関係している事もあります。頭痛とめまいの主な原因
1. 脳の病気(重篤な疾患)
脳卒中(脳出血・脳梗塞・くも膜下出血)、脳腫瘍、髄膜炎などは命に関わる事があります。
「今までにない強い頭痛」「突然のめまい」「意識障害」などは要注意です。2. 内耳や平衡感覚の障害
メニエール病、良性発作性頭位めまい症(BPPV)、前庭神経炎などがあり、耳鳴りや難聴を伴う事もあります。
3. 前庭性片頭痛(めまいを伴う片頭痛)
前庭性片頭痛は、めまいを伴う片頭痛の一種です。内耳の前庭神経と脳の特定領域との情報伝達の障害が原因とされています。この病態は、頭痛を伴わない事も多く、めまいの発作が突然起こり、持続時間は5分から72時間と個人差があります。また、前庭性片頭痛は、片頭痛の既往がある人や女性、ストレスや睡眠不足の影響を受けやすい人に多く見られます。
診断基準(国際頭痛分類第3版準拠)
- A. 少なくとも 5回 の前庭症状の発作がある事。
- B. 現在または過去に片頭痛の既往がある(片頭痛の診断基準を満たす)。
- C. 中等度〜高度の前庭症状が 5分〜72時間 持続する事。
- D. 発作の 50%以上 で下記のうち 1つ以上 を伴う事。
- 頭痛(次のうち少なくとも2項目を満たす):片側性/拍動性/中等度〜重度/日常動作で悪化
- 光過敏または音過敏
- 視覚前兆(aura)
- E. 他の疾患で前庭症状を充分に説明できない事(鑑別診断が必要)。
治療
前庭性片頭痛に対しては、片頭痛予防薬や吐き気止めが用いられます。特に、バルプロ酸は、脳の過敏状態を抑える事で、めまいを抑制する効果があります。また、生活習慣の改善も重要です。規則正しい生活やバランスの取れた食事、適度な運動が推奨されます。
4. その他の原因
-
貧血や脱水
-
起立性低血圧
-
ストレスや生活リズムの乱れ
よくある質問(Q&A)
Q1. 頭痛とめまいが同時に起きるのはなぜですか?
A1. 頭痛とめまいが同時に起きる原因は様々です。代表的なのは、脳卒中や脳腫瘍など脳の病気、内耳の障害、前庭性片頭痛などです。軽い場合はストレスや睡眠不足、貧血などでも起こる事がありますが、突然の強い症状や神経症状を伴う場合は重大な病気の可能性もあるため注意が必要です。
Q2. どんな場合にすぐ受診した方がいいですか?
A2. 「突然の激しい頭痛」「めまいとともに手足のしびれや麻痺」「意識がもうろうとする」「物が二重に見える」「ろれつが回らない」「けいれんや高熱を伴う」などは、脳卒中や脳腫瘍など緊急性の高い病気が隠れている場合があります。これらの症状があれば、すぐに医療機関を受診してください。
Q3. 慢性的に頭痛とめまいがある場合はどうすればいいですか?
A3. 慢性的な場合は、生活習慣の見直しやストレス対策が有効な事も多いですが、自己判断せず一度専門医を受診し、重大な病気が隠れていないか調べる事が大切です。特に症状が長引く、悪化する場合は早めの受診をお勧めします。
Q4. 市販薬で様子を見ても大丈夫ですか?
A4. 軽い頭痛やめまいの場合は市販薬で様子を見る事もできますが、症状が繰り返す・強くなる・新たな症状が加わる場合は、自己判断で薬を続けず医療機関を受診してください。薬の使い過ぎは「薬物乱用頭痛」などを引き起こす事もあります。
Q5. 頭痛とめまいの予防法はありますか?
A5. 充分な睡眠、バランスの良い食事、適度な運動、ストレスのコントロールが予防に役立ちます。また、片頭痛やめまいの持病がある方は、医師の指示に従って薬を服用し、生活習慣を整える事が大切です。
Q6. どの診療科を受診すればいいですか?
A6. 頭痛とめまいが同時にある場合は、脳神経内科や頭痛外来が適切です。症状や経過によっては、救急科の受診も検討しましょう。
実際の症例に学ぶ
症例1
元々頭痛持ちだった20代後半の女性です。時々めまいがあり、耳鼻科で良性発作性頭位めまい症と言われた事がありました。ところが、ある日急に今まで経験した事のないような激しい回転性めまいと吐き気に襲われ、頭痛も出現して立っていられなくなりました。翌日横浜脳神経内科を受診しました。
頭痛とめまいが起きた場合、まず脳の病気を否定する必要があります。そこで、MRI検査を行いましたが、異常はありませんでした。
平衡感覚は耳の奥の内耳にある三半規管が関係します。
三半規管で頭の向きを感じた後、次にその情報は前庭神経から脳に伝わります。
体のバランスは
- 三半規管からの平衡感覚
- 目でみた視覚情報
- 足の裏で感じた感覚
などを脳の内部で統合して判断しています。そして、これらの情報にミスマッチが生じた場合にめまいを感じます。フワフワする浮動感や、回転性めまいの場合があり、立ちくらみと感じる事もあります。
片頭痛では、様々な感覚に過敏になります。痛みだけでなく、光や音、臭いに過敏になり、さらに平衡感覚に対して過敏になる事もあります。
この方の場合、よく聞いてみると、元々乗り物酔いしやすかったり、立ちくらみが多かったとの事です。つまり、揺れや体の動きに過敏になっている事の現れです。症状と経過から、診断基準に基づき、前庭性片頭痛と診断しました。
症例2
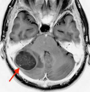
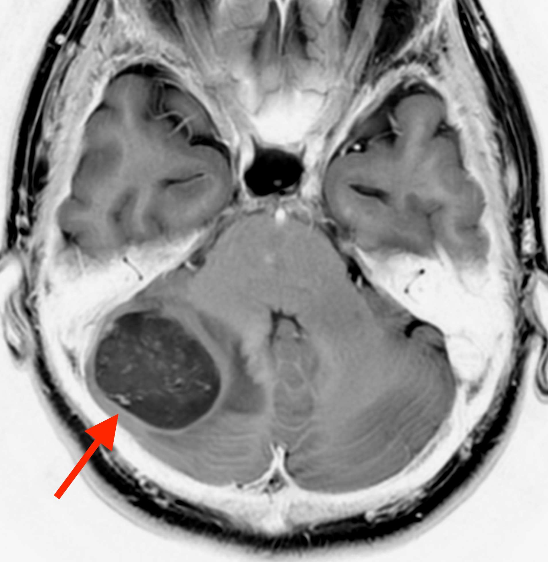
60代の女性です。1週間前から何となく頭が重い感じとめまい、軽い吐き気があり、風邪かと思い近所の内科医院を受診しました。ところが、診察した内科医は、風邪の症状はないと診断しました。しかし、歩いていると右へ傾くのでおかしいと感じ、脳の病気を疑い当院へ紹介され受診しました。
MRI検査をしたところ、
右の小脳に直径3.6mm位の脳腫瘍が見つかりました。小脳は体のバランスをコントロールしている場所です。つまり、ここが侵されるとめまいやふらつきを感じるようになります。
頭痛とめまいや吐き気がある場合、こうした脳の病気である場合もあります。
したがって、この方は精密検査や手術が必要と考え、総合病院へ紹介させていただきました。
まとめ・受診の目安
頭痛とめまいは多くの原因がありますが、危険なサインを見逃さない事が大切です。
「いつもと違う」「強い痛み」「神経症状を伴う」場合は、迷わず医療機関へ相談しましょう。文献および参考
- 日本脳卒中学会 – 脳卒中とは
- 日本神経学会 – 脳神経内科の主な病気(症状編)めまい
- 前庭性片頭痛 (Vestibular Migraine) の診断基準 (Barany Society: J Vestib Res 22: 167-172, 2012):Equilibrium Res Vol. 78(3) 230~231,2019
- 日本頭痛学会・国際頭痛分類委員会:国際頭痛分類第3版(日本語版).医学書院,東京,2018
この記事は横浜脳神経内科医師が書いています。

-
【資格】
日本神経学会神経内科専門医・指導医
日本頭痛学会専門医・指導医
日本脳卒中学会専門医
日本内科学会認定内科医
身体障害者福祉法指定医
(肢体不自由、平衡機能障害、音声機能・言語機能障害、そしゃく機能障害、膀胱直腸機能障害)
【略歴】
1988年3月 千葉大学医学部卒業
1989年10月 松戸市立病院 救急部
1994年10月 七沢リハビリテーション病院
2002年4月 沼津市立病院 神経内科
2002年11月 長池脳神経内科開設
2012年11月 横浜脳神経内科開設
-



