頭痛の症状・疾患
-
視野が欠ける原因
視野が欠ける原因には、いくつかの可能性が考えられます。

眼科的疾患
網膜剥離、網膜中心動脈閉塞症、急性緑内障発作などで視野が欠ける事があります。
これらの疾患では緊急性が高い場合があるため、直ちに眼科を受診してください。
次に、脳の病気で視野が欠ける原因について説明します。
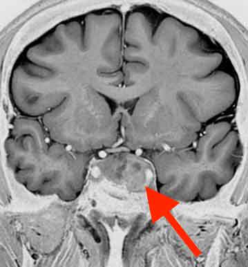
視野が欠ける原因1
50代の男性で、20代の頃から片頭痛と診断されていた方です。
何となく左側の視野が見えにくいと感じる事が多く、片頭痛で通院している当院へ相談されました。
頭部MRI検査を行ったところ、

下垂体腺腫という腫瘍がありました。
本来良性の腫瘍で、急速に悪化する事はありません。しかし、左側の視野が欠ける症状があったため、手術のできる病院へ紹介させていただきました。
視野が欠ける原因2
40代の女性です。
テレビを見ていたところ、画面の左側が欠けて見え、目の前がチカチカしてきました。その後30分位して、ズキンズキンと脈打つようなこめかみの痛みが出現しました。若干の吐き気もありました。
翌日に当院を受診、症状の特徴から前兆のある片頭痛と診断しました。視野が欠ける原因は、閃輝暗点という片頭痛の症状と思われました。
念のため行った頭部MRI検査では、異常はありませんでした。
拍動性頭痛であり、脳血管の拡張による痛みと考えトリプタンを処方、帰宅されました。
患者さんへのアドバイス
視野が欠ける原因は目の病気ばかりではありません。頭痛など他の症状がないかを確認してください。もし該当するようであれば、脳神経内科を受診するようお勧めします。
参考
この記事は横浜脳神経内科医師が書いています。

-
【資格】
日本神経学会神経内科専門医・指導医
日本頭痛学会専門医・指導医
日本脳卒中学会専門医
日本内科学会認定内科医
身体障害者福祉法指定医
(肢体不自由、平衡機能障害、音声機能・言語機能障害、そしゃく機能障害、膀胱直腸機能障害)
【略歴】
1988年3月 千葉大学医学部卒業
1989年10月 松戸市立病院 救急部
1994年10月 七沢リハビリテーション病院
2002年4月 沼津市立病院 神経内科
2002年11月 長池脳神経内科開設
2012年11月 横浜脳神経内科開設


