頭痛の疾患・症例
-
頭を下げると軽くなる頭痛
頭を下げると軽くなる頭痛について説明します。
頭痛がつらい時に、横になっていると何となく気分が楽になるかもしれません。しかし、痛みそのものが、頭を下にして横になると嘘のようにスーッと消え、起き上がるとまた痛くなるという場合があります。片頭痛や副鼻腔炎では頭を下げると痛くなるのとは逆です。
症例
40代後半の女性で、元々頭痛持ちではありませんでした。数ヶ月前から時々立ちくらみがあり、後頭部と前頭部に強い頭痛を繰り返すようになりました。
朝目が覚めた時は何ともないのですが、起きて会社へ行くと頭痛が始まり、次第に痛みの強さも強くなり、頻繁になってきました。あまりの痛さで我慢できず、昼休みは必ずソファに横になって休むようになりました。実際、横になると頭痛が不思議と取れて楽になる事に気が付きました。
会社の同僚が片頭痛で通院していた事もあり、横浜脳神経内科を紹介されて受診しました。
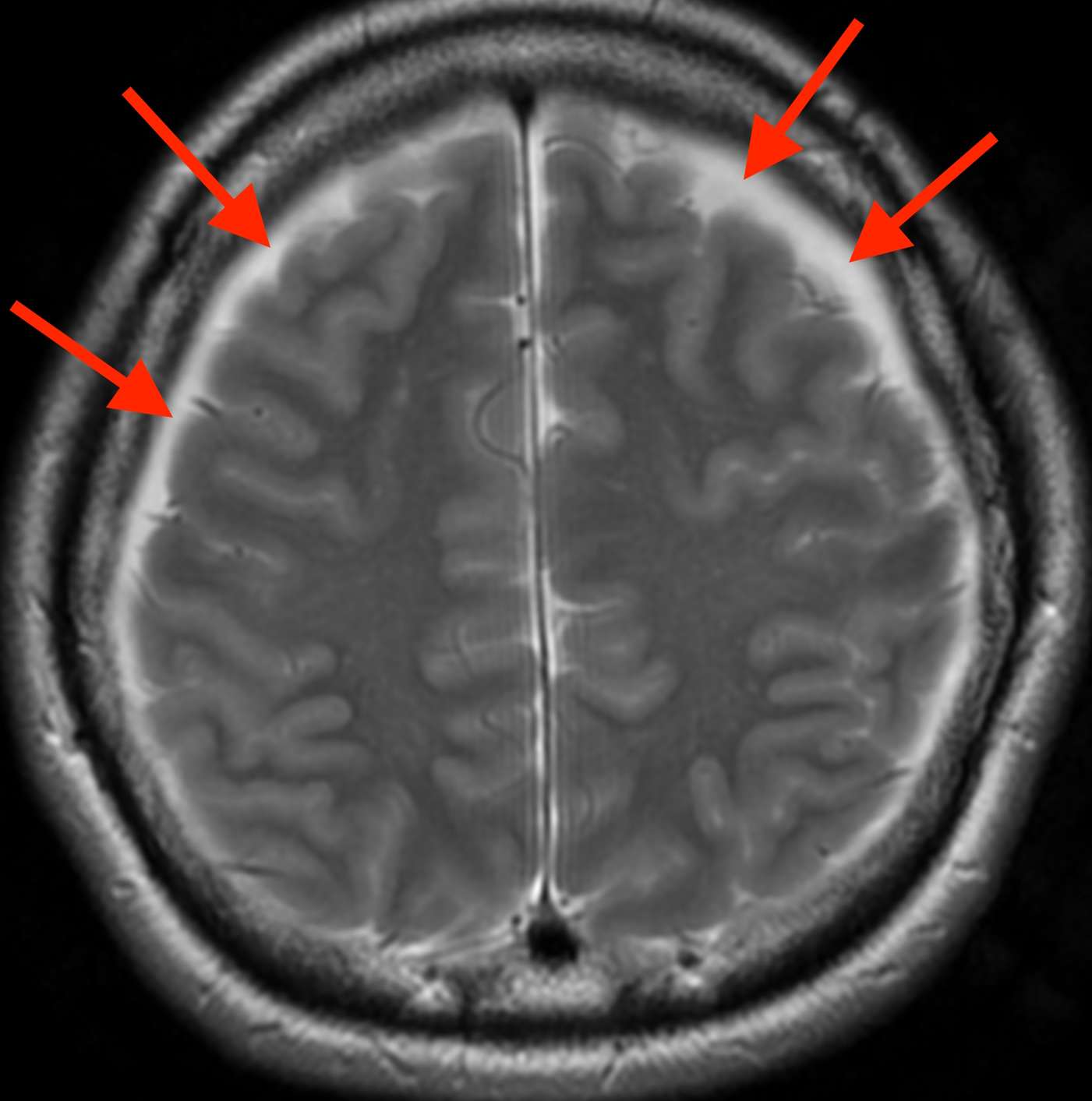
MRI検査をしたところ、
脳の周りにすき間(赤矢印)が見えています。このすき間の部分は血液が貯まったもので、「慢性硬膜下血腫」と言います。
解説
通常、慢性硬膜下血腫は高齢者に生じます。しかし、この方は40代と若く、事故やケガで頭を強くぶつけた事もありません。
脳とそれに続く脊髄は、硬膜というケースの中に入っており、また、周囲は髄液に浸っています。髄液は重力とともに移動します。
髄液の量が減ると、立っている状態では髄液が下へ移動し、脳が下へ引っ張られ後頭部で圧迫されて痛くなります。逆に前頭部では、脳が硬膜から引きはがされる形になって痛みを生じます。横になると髄液は脳の方へ移動してバランスが戻り、痛みは軽くなるか消失します。つまり、頭を下げると軽くなる頭痛の原因となります。
こうした状態を「脳脊髄液減少症」といいます。
この状態が続くと、硬膜の静脈から出血するため、慢性硬膜下血腫ができます。髄液の漏れている場所が確定できた場合には、硬膜を修復する手術や、自分の血液を注入して漏れている穴を塞ぐブラッドパッチ治療が行われます。
この方は、頚椎椎間板ヘルニアがあり、骨が硬膜を突き破って穴があいている事が分かり、手術を受けました。
なお、特殊な場合として、髄液が作れなくなって生じる脳脊髄液減少症も存在します。
参考
この記事は横浜脳神経内科医師が書いています。

-
【資格】
日本神経学会神経内科専門医・指導医
日本頭痛学会専門医・指導医
日本脳卒中学会専門医
日本内科学会認定内科医
身体障害者福祉法指定医
(肢体不自由、平衡機能障害、音声機能・言語機能障害、そしゃく機能障害、膀胱直腸機能障害)
【略歴】
1988年3月 千葉大学医学部卒業
1989年10月 松戸市立病院 救急部
1994年10月 七沢リハビリテーション病院
2002年4月 沼津市立病院 神経内科
2002年11月 長池脳神経内科開設
2012年11月 横浜脳神経内科開設



