頭痛の疾患・症例
-
高齢者の頭痛
高齢者の頭痛の場合、痛みが軽いか、頭痛以外の症状が前面に出ている事があります。
高齢者の頭痛症例
80代の男性で、腰と膝が悪いため、しばしば歩行中につまずく事がありました。
正確な発症時期がはっきりしませんが、「何だか体調が悪い」「何となく頭が重い」「ふらつく事が多くなった」と訴えるようになりました。腰が悪いせいだろうと思い、特に病院を受診しようとは思っていませんでした。
ボーッとしている事も多く、ご家族がアルツハイマー病1) ではないかと思い、ご家族と一緒に横浜脳神経内科を受診しました。
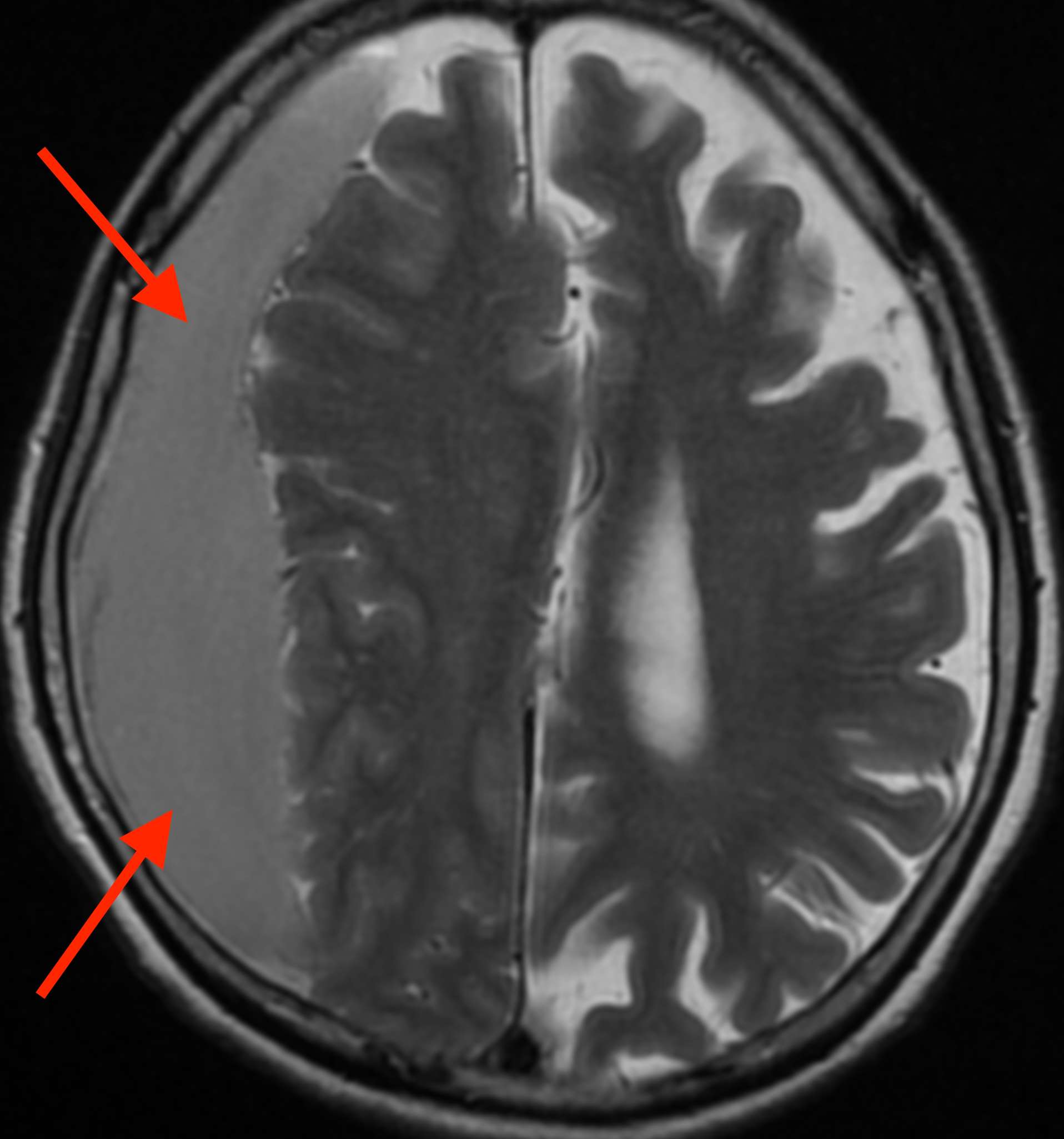
MRI検査をしたところ、
脳の右側に血液が貯まっていて脳を圧迫しており、慢性硬膜下血腫2) という状態です。
慢性硬膜下血腫は、頭蓋骨の内側にある硬膜の静脈が破れて出血した状態です。
強く頭をぶつけた後に生じる事が多いですが、原因がはっきりしない場合もあります。しかし、頭をぶつけた後1ヶ月以上たってから生じる事もあります。
特に高齢者の場合には、転んだり頭をぶつけた事自体を覚えていなかったり、痛みの感受性が鈍くなっていたりするため、「頭痛」という症状が隠れてしまう事があります。
対策
高齢者の頭痛は、ご本人が認識していない場合があるため、周囲の方が早めに気が付いていただく事が大事です。転倒した後、それまでの様子と変化がないかを注意深く観察していただく必要があります。
横浜脳神経内科では、日本神経学会および日本頭痛学会の専門医・指導医が診療を担当しています。心配な方はご相談ください。
参考
この記事は横浜脳神経内科医師が書いています。

-
【資格】
日本神経学会神経内科専門医・指導医
日本頭痛学会専門医・指導医
日本脳卒中学会専門医
日本内科学会認定内科医
身体障害者福祉法指定医
(肢体不自由、平衡機能障害、音声機能・言語機能障害、そしゃく機能障害、膀胱直腸機能障害)
【略歴】
1988年3月 千葉大学医学部卒業
1989年10月 松戸市立病院 救急部
1994年10月 七沢リハビリテーション病院
2002年4月 沼津市立病院 神経内科
2002年11月 長池脳神経内科開設
2012年11月 横浜脳神経内科開設



