新横浜駅から11分、東京駅から26分
/ 神奈川・横浜 横浜駅より徒歩5分

045-620-8920

【受付時間】月~土 10:00~12:00, 14:00~17:00

当院は『完全予約制』です。

頭痛の疾患・症例

頭痛の疾患・症例

  • 頭痛が1週間以上続く原因

    頭痛が1週間続く…重大な病気?原因・対処法・受診の目安を専門医が解説

    頭痛が1週間以上続くと、「何か重大な病気では?」と不安になる方も多いでしょう。この記事では、1週間以上続く頭痛の主な原因、受診の目安について、分かりやすく解説します。

     

    頭痛が1週間以上続く原因

     

    1. 1週間以上続く頭痛とは?

    • 1週間以上続く頭痛は、重大な病気が隠れている場合もある。
    • 危険なサインやセルフケアで改善しない場合は早めの受診が必要。
    • 以下で症状・部位・経過ごとのチェックポイントや対処法、受診目安を解説。

     

    2. 1週間以上続く頭痛の主な原因と特徴

    2-1. 一次性頭痛(他の病気がない頭痛)

    片頭痛

     

    緊張型頭痛

     

    群発頭痛

    • 症状:片側の目の奥の激痛で、痛みと同じ側の涙や鼻水を伴う。
    • 持続期間:1回15分~3時間。群発期は数週間~数ヶ月続く。
    • セルフケア:禁酒、安静、激しい運動を避けるなど。

     

    2-2. 二次性頭痛(脳の病気など他の原因による頭痛)

    髄膜炎

    • 症状:風邪の症状に続いて、高熱、吐き気や嘔吐などを伴う強い頭痛で、けいれんや意識障害をきたす事もある。

    脳の周囲にある髄膜に、ウイルス、細菌、真菌(カビ)などが感染した状態です。多くはウイルス性髄膜炎で安静にしていれば改善しますが、細菌や真菌が原因の場合は重篤な状態となる可能性があり、入院治療が必要です。

    ステロイドホルモンや免疫抑制剤を使用している場合など、免疫が弱っている場合は細菌や真菌による髄膜炎をきたすリスクがあるため、注意が必要です。

    MRI検査だけでは診断は難しく、髄液検査という腰の骨の間から針を刺して髄液を抜く検査が必要になります。

     

    脳腫瘍

    • 症状:徐々に悪化する頭痛で、朝方に強い。吐き気、手足のしびれ、意識障害などを伴う事もある。

     

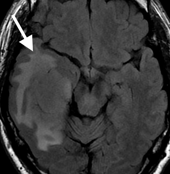
    【症例報告】60代前半の男性。約1ヶ月前から右前頭部の重い感じの痛みがあり受診。頭痛は朝起きた時に強く感じる傾向がありました。

    MRI検査では、

     

    頭痛が1週間以上続く原因

     

    右側頭葉に直径約6cmの脳腫瘍を認めました。

    精密検査が必要であり、大学病院へ紹介。腫瘍の種類は悪性リンパ腫と診断され、化学療法を行いました。

     

    脳脊髄液減少症

    • 症状:立ち上がると頭痛が強くなり、横になると軽減。

     

    【症例報告】40代後半の女性で、約2週間前から後頭部の痛みがあり、立ち上がると痛みが強くなり、横になると治まるという特徴。片頭痛の痛み方とは違うと感じ受診。

    MRI検査では、

     

    頭痛が1週間以上続く原因

     

    小脳扁桃という部分が若干下に下がっている所見を認めました。

    立つと痛みが強くなり、横になるとなくなるという特徴とこの所見から、脳脊髄液減少症と診断。この疾患は、脳脊髄液が足りなくなるため、脳が後ろに引っ張られて後頭部の痛みを生じます。さらに、脳脊髄液が減る原因を調べるため大学病院へ紹介。

     

    可逆性脳血管攣縮症候群(RCVS)

    • 症状:突然の激しい頭痛。発作が繰り返され、1週間以上続く事もある。
    • 誘因:排便、運動、入浴、強い感情など。
    • 注意点:片頭痛薬(トリプタン)は逆効果になる事もある。

     

    【症例報告】40代前半の女性で、20代の頃から片頭痛あり。 朝トイレで排便後、後頭部の激しい頭痛が出現。翌朝軽くなったものの、まだ痛みは持続。さらに、後頭部だけでなく頭全体がズキンズキンと脈打つように痛くなりました。片頭痛の薬であるトリプタンを飲んでも効きませんでした。

    そして、その後も頭痛は続き7日経過。今まで片頭痛の時は3日以内に治まっており、これ程長く続く頭痛は今までなく受診しました。

    MRA(MRIを使った脳血管の撮像)では、

     

    頭痛が1週間以上続く原因

     

    脳の血管が収縮して細くなった部分があり、可逆性脳血管攣縮症候群と診断。血管がけいれんして縮む状態で、トリプタンではさらに血管を縮めてしまい、全く効果はなく悪化する場合もあります。したがって、可逆性脳血管攣縮症候群では、血管を拡張する薬で治療します。また、痛みを脳に伝える三叉神経や交感神経が過敏な状態でもあり、これらを抑える薬を治療に加える事があります。当院では、片頭痛の予防にも使われる抗てんかん薬(バルプロ酸)やβ遮断薬(プロプラノロール)を必要に応じて同時に用いています。

    可逆性脳血管攣縮症候群による頭痛は、通常1ヶ月位で自然に回復してきます。しかし、少しでも早くに正しく診断し、痛みを取る治療を行う事が大事です。

     

    各疾患の痛みの特徴

    疾患名 痛みの性質・強さ 部位 持続時間 代表的な随伴症状 受診の目安
    片頭痛 拍動性(ズキズキ)、中等度〜強い 片側優位だが両側もあり 4〜72時間 悪心・嘔吐、光/音過敏、前兆(閃輝暗点など) 日常動作で悪化。初発・急変時は受診。
    群発頭痛 目の奥をえぐられるような激痛 片目の奥 15分〜3時間(1日1〜数回、期間性に発作) 流涙、眼の充血、鼻閉・鼻漏、焦燥感 強度が非常に高く緊急性あり。救急相談を。
    緊張型頭痛 圧迫感・締め付け(軽度〜中等度) 頭全体〜後頭部 30分〜数日 首肩のこり、目の疲れ、ストレス関連 慢性化しやすいが危険徴候なしなら外来対応で可
    髄膜炎 非常に強い全般的な頭痛 頭全体 急性に持続 高熱、項部硬直、意識障害、嘔吐 緊急性極めて高い。直ちに救急受診。
    脳腫瘍 鈍い持続痛、起床時に悪化することが多い 局所的または全体 慢性的に徐々に悪化 嘔吐(噴水状)、けいれん、視野障害、局所神経症状 徐々に悪化する頭痛、神経症状があれば受診。
    脳脊髄液減少症 立位で悪化、臥位で改善 頭全体〜後頭部 長期化する事あり めまい、耳鳴り、倦怠感、視覚障害 体位変化がはっきりする場合は専門外来へ。
    可逆性脳血管攣縮症候群 雷鳴頭痛、非常に強い 頭全体〜後頭部 数分〜数時間(繰り返す) 視覚異常、けいれん、血圧上昇 突発の激痛は早急に評価を要する。

     

    3. 危険な頭痛のサインと受診すべきタイミング

    • これまで経験した事のない激しい頭痛
    • 吐き気や嘔吐、手足のしびれ、言語障害、意識障害
    • 朝方に痛みが強い、日常生活に支障が出る
    • 薬が効かない、症状が悪化する

    これらの症状がある場合は、できるだけ早く医療機関(頭痛外来・脳神経内科)を受診しましょう。 

     

    4. よくある質問(Q&A)

    Q1. 頭痛が1週間続くのはよくある事?

    A1. 片頭痛や緊張型頭痛が1週間以上続く事は滅多にありません。重大な疾患が隠れていないか確認する必要があり、早めに脳神経内科や頭痛外来を受診しましょう。

    Q2. 市販薬が効かない場合は?

    A2. 薬の効きが悪い、量が増えている場合は他の病気の可能性もあるため受診をお勧めします。

    Q3. どんな検査をするの?

    A3. 主にMRIやCTなどの画像検査、必要に応じて血液検査などを行います。

    Q4. セルフケアだけで大丈夫?

    A4. セルフケアで改善しない、症状が悪化する場合は医療機関に相談しましょう。

    Q5. 頭痛が1週間続いていますが、仕事や家事は続けても大丈夫ですか?

    A5. 軽い頭痛で日常生活に大きな支障がない場合は、無理のない範囲で仕事や家事を続けても構いません。ただし、痛みが強くなったり、吐き気・しびれ・発熱など他の症状が加わった場合は、すぐに医療機関を受診してください。

    Q6. 頭痛の時に市販薬を飲み続けても大丈夫でしょうか?

    A6. 市販薬で一時的に痛みが和らぐ事もありますが、連日服用しても頭痛が治まらない場合や、薬の量が増えてきた場合は、薬剤の使用過多による頭痛(薬物乱用頭痛)になることもあります。自己判断で飲み続けるのは避け、医師に相談しましょう。

    Q7. 頭痛以外にどんな症状が出たら特に注意が必要ですか?

    A7. 吐き気や嘔吐、手足のしびれ・脱力、ろれつが回らない、視界の異常、発熱、意識がぼんやりするなどの症状が現れた場合は、重大な病気が隠れている可能性があります。早めに受診してください。

    Q8. ストレスが原因の頭痛はどうやって見分ければいいですか?

    A8. ストレスがあるときや、仕事・人間関係で緊張した後に頭痛が強まる場合は、ストレス性の頭痛の可能性があります。リラックスする時間を作ったり、睡眠や休息をしっかりとる事で改善する事もありますが、長引く場合は医師の診察を受けましょう。

    Q9. どの診療科に行けばいいか迷っています。

    A9. まずは内科やかかりつけ医で相談しても構いません。必要に応じて脳神経内科・頭痛外来など専門の医療機関を紹介されます。急激な激しい頭痛や、普段と違う症状がある場合は、迷わず専門科を受診しましょう。

     

    5. まとめ

    • 1週間以上続く頭痛は、一次性頭痛だけでなく重大な病気が隠れている事もあります。
    • セルフケアで改善しない場合や危険なサインがあれば、早めに医療機関を受診しましょう。
    • 正しい知識と適切な対応で、安心して毎日を過ごしましょう。

     

    6. 文献

     

    この記事は横浜脳神経内科医師が書いています。

    理事長 丹羽 直樹
    理事長 丹羽 直樹
    【資格】
    日本神経学会神経内科専門医・指導医
    日本頭痛学会専門医・指導医
    日本脳卒中学会専門医
    日本内科学会認定内科医
    身体障害者福祉法指定医
    (肢体不自由、平衡機能障害、音声機能・言語機能障害、そしゃく機能障害、膀胱直腸機能障害)

    【略歴】
    1988年3月 千葉大学医学部卒業
    1989年10月 松戸市立病院 救急部
    1994年10月 七沢リハビリテーション病院
    2002年4月 沼津市立病院 神経内科
    2002年11月 長池脳神経内科開設
    2012年11月 横浜脳神経内科開設

    最新の投稿