新横浜駅から11分、東京駅から26分
/ 神奈川・横浜 横浜駅より徒歩5分

045-620-8920

【受付時間】月~土 10:00~12:00, 14:00~17:00

当院は『完全予約制』です。

頭痛の疾患・症例

頭痛の疾患・症例

  • 片頭痛と脳梗塞

    片頭痛と脳梗塞との関連について説明します。通常、脳梗塞で頭痛を伴う事はありません。しかし、片頭痛の場合、脳梗塞との関連について過去様々な研究がなされてきました。

    片頭痛と脳梗塞に関する報告

    45歳未満で前兆のある片頭痛の女性では脳梗塞発症リスクが2倍、さらに、喫煙と経口避妊薬内服により7〜9倍に増加するというデータがあります。1)2)3)

    しかし、この年齢層は元々脳梗塞発症率が10万人あたり5〜10人と極めて少なく、高血圧症、糖尿病、脂質異常症、喫煙、ピルの服用などがなければ、片頭痛が脳梗塞のリスクになるとは必ずしも言えません

    そこで、横浜脳神経内科では、過剰に心配せず、片頭痛治療薬で発作回数をコントロールし、喫煙や経口避妊薬を避ける事を勧めています。

    心臓の右心房と左心房を分ける壁は、通常出生後に自然閉鎖します。しかし、小さな穴が開いたままになっている場合(卵円孔開存)が成人の26%に認められます。前兆のない片頭痛の30%に、前兆のある片頭痛の54.8%に卵円孔開存が存在するとされています。そして、卵円孔開存は脳梗塞の原因となる事が知られています。

    片頭痛と脳梗塞

     

    片頭痛と脳梗塞の症例1

    中学生の頃から片頭痛を繰り返していた40代の女性です。閃輝暗点などの前兆はありませんでした。右のこめかみの痛みが3日間続きました。また、これまでにない痛み方だったため当院を受診しました。

    頭部MRI検査(拡散強調画像)を確認しました。

    片頭痛と脳梗塞

    右の前頭葉という場所に小さな脳梗塞を認めました。さらに、別々の場所に計3ヶ所の脳梗塞を認めました。小さな血栓(血液の固まり)が脳血管の複数の場所に流れ込んで生じた脳梗塞と考えられました。

    片頭痛を有する方に発症した脳梗塞である事や病変の分布から、卵円孔開存が関与した脳梗塞である可能性があります。したがって、心臓を含めた詳しい検査と治療が必要です。

     

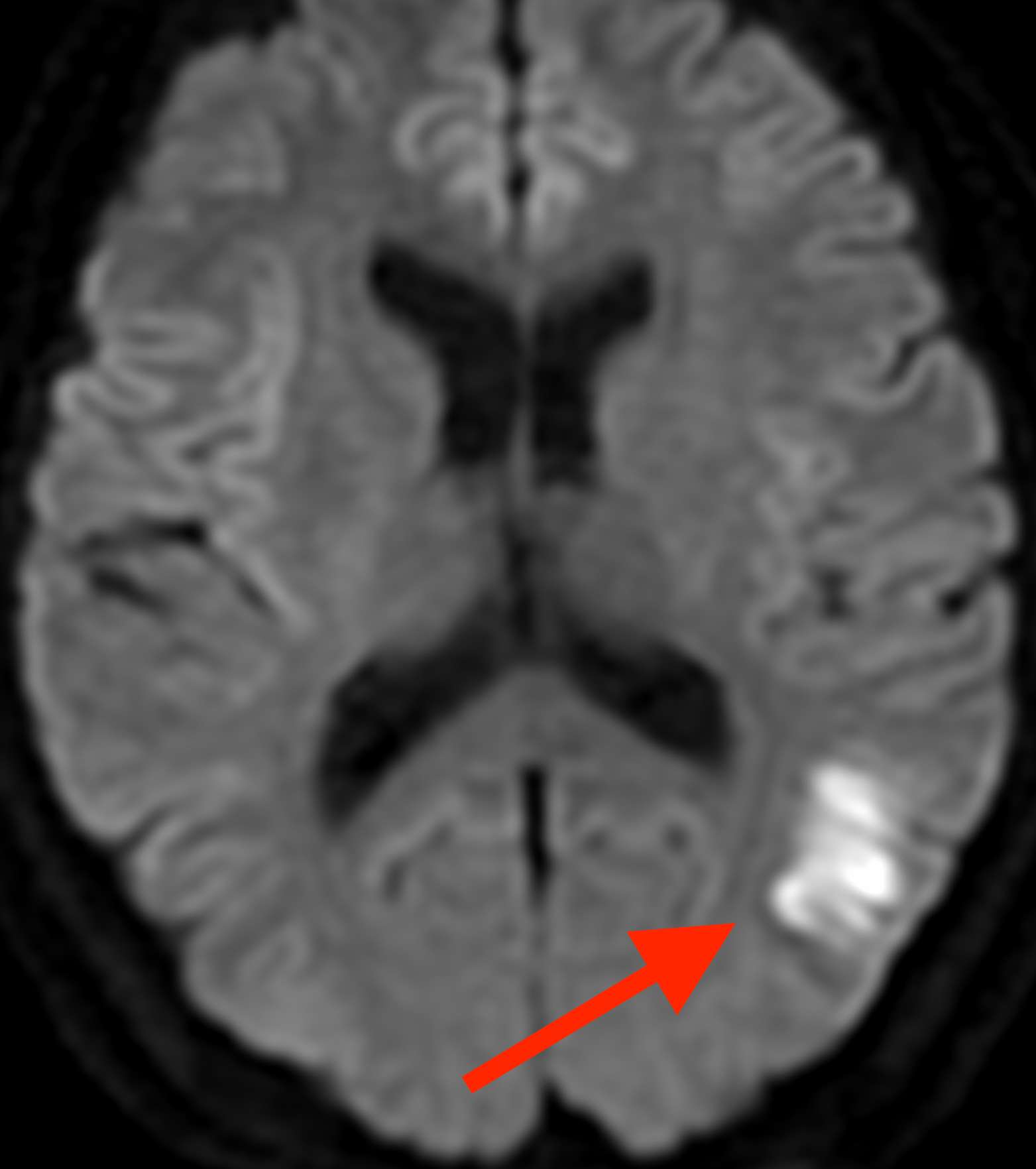
    片頭痛と脳梗塞の症例2

    30代の女性で、中学生の頃から前兆のない片頭痛がありました。

    3日前に突然激しい左後頭部の痛みと吐き気が出現しました。さらに、その後も断続的に頭痛が強くなる状態が続き、当院を受診しました。

    頭部MRI検査(拡散強調画像)を見ました。

    片頭痛と脳梗塞

    すると、左の後頭葉頭に脳梗塞を認めました。

    頭部MRA検査で血管を見ました。

    片頭痛と脳梗塞

    左の中大脳動脈という血管に細い部分がありました。つまり、可逆性脳血管攣縮症候群を生じ、血流が悪化して脳梗塞を起こしたものと考えられました。

     

    片頭痛と脳梗塞の症例3

    30代の女性で、元々片頭痛がありました。

    仕事中に突然左手足の力が入らず、さらに、身体全体が重く感じるようになりました。そして、何とか自宅に戻り、翌日当院を受診しました。

    そこで、直ちに頭部MRI検査を行いました。

    片頭痛と脳梗塞

    すると、右の内包という場所に脳梗塞を認めました。

    さらに、頭部MRA検査で血管を確認しました。

    脳梗塞画像

    右の中大脳動脈という血管が、断続的に細くなっている状態を認めました。つまり、可逆性脳血管攣縮症候群による脳梗塞を起こしたものと診断しました。

    3症例とも元々片頭痛のある方で、いずれも閃輝暗点などの前兆はありません。また、脳梗塞の危険因子である高血圧、糖尿病、喫煙歴などはありませんでした。いずれの症例も、脳梗塞としては軽症で、特に後遺症もなく経過しました。

    当院では、可逆性脳血管攣縮症候群は片頭痛と関連した疾患と捉えています。

    国際頭痛分類第3版で片頭痛性脳梗塞という分類があります。

    この症例では、片頭痛から可逆性脳血管攣縮症候群に変化して生じた脳梗塞の可能性があります。

     

    結論

    閃輝暗点などの前兆のある片頭痛は脳梗塞を起こすリスクが高いと言われています。しかし、危険因子を複数持っていなければ、過剰に心配する必要はありません。

     

    文献

     

    この記事は横浜脳神経内科医師が書いています。

    理事長 丹羽 直樹
    理事長 丹羽 直樹
    【資格】
    日本神経学会神経内科専門医・指導医
    日本頭痛学会専門医・指導医
    日本脳卒中学会専門医
    日本内科学会認定内科医
    身体障害者福祉法指定医
    (肢体不自由、平衡機能障害、音声機能・言語機能障害、そしゃく機能障害、膀胱直腸機能障害)

    【略歴】
    1988年3月 千葉大学医学部卒業
    1989年10月 松戸市立病院 救急部
    1994年10月 七沢リハビリテーション病院
    2002年4月 沼津市立病院 神経内科
    2002年11月 長池脳神経内科開設
    2012年11月 横浜脳神経内科開設

    最新の投稿