頭痛の疾患・症例
-
後頭部の頭痛
目次
後頭部の頭痛|原因・対処法・危険なサインと受診目
後頭部の頭痛には、様子を見ていてもよい一次性頭痛から、緊急な受診が必要な二次性頭痛まで幅広く存在します。この記事では、後頭部頭痛の原因、セルフケア、危険なサイン、受診の目安などについて、詳しく説明します。
後頭部の頭痛とは?よくある疑問Q&A
後頭部頭痛で検索する方が知りたい「本当に危険な症状は?」「どう対処すればいい?」など、よくある疑問にQ&A形式でお答えします。
Q1. 後頭部の頭痛はどんな病気が考えられますか?
A1. 片頭痛や緊張型頭痛、後頭神経痛などの一次性頭痛が多いですが、くも膜下出血や椎骨動脈解離、脳腫瘍、髄膜炎など命に関わる病気が原因となることもあります。痛みの性質や他の症状(意識状態・吐き気・麻痺など)をよく観察しましょう。
Q2. どんな症状があると危険ですか?
A2. 突然の激しい痛み、今までにない痛み、吐き気や嘔吐、けいれん、意識障害、手足のしびれや麻痺、言葉の障害を伴う場合は、重大な疾患が隠れている可能性があります。速やかに医療機関を受診してください。
Q3. 市販薬で様子を見ても大丈夫な頭痛は?
A3. 今までと同じ軽い痛みや、ストレスや姿勢の悪さなど思い当たる原因がある場合は、市販の鎮痛薬やストレッチ、温めるなどのセルフケアで様子を見ても良いでしょう。ただし、痛みが長引く場合や頻度・強さが増す場合、薬が効かない場合は早めに医療機関を受診しましょう。
Q4. 後頭部の頭痛を予防するにはどうしたらいいですか?
A4. 片頭痛や緊張型頭痛の場合、長時間同じ姿勢を避け、こまめに首や肩を動かす事、姿勢を正す事、ストレスを溜めない事が予防につながります。充分な睡眠や適度な運動も効果的です。
Q5. 後頭部の頭痛は何科を受診すればいいですか?
A5. 頭痛外来や脳神経内科の受診が適しています。症状が重い場合や急を要する場合は、救急外来を受診してください。
Q6. 後頭部の頭痛が1週間以上続いていますが大丈夫ですか?
A6. 1週間以上続く頭痛は、重大な疾患が隠れている可能性もあるため、自己判断せず医療機関を受診しましょう。特に症状が悪化したり、他の症状を伴う場合は早めの受診が重要です。
後頭部の頭痛の主な原因と特徴
一次性頭痛(原因となる疾患がない頭痛)
片頭痛
片側または両側のズキズキする強い痛みで、吐き気やめまいを伴ったり、光や音に過敏となることもあります。
緊張型頭痛
肩や首のこりが原因となる締め付けられるような痛みで、生活に支障をきたすほどの強さではありません。
後頭神経痛
通常片側、時に両側のこともあるズキンとする電流が走ったかのような鋭い痛みで、肩や首の筋肉に圧迫されて生じます。帯状疱疹が原因となることもあります。
※いずれも命に関わる事はありませんが、長引いたり生活に支障をきたす場合には、専門医にご相談ください。また、帯状疱疹による後頭神経痛は、痛みの後遺症が残る場合があるため、早めの受診をお勧めします。
二次性頭痛(脳の疾患による頭痛)
くも膜下出血
今までに経験したことのないような、突然後頭部をバットで殴られたかのような激しい痛みで、吐き気・嘔吐やけいれん、意識の障害を伴うこともあります。多くは、脳動脈瘤という血管にできたコブが破裂して発症します。死亡率が30〜40%と高く、10〜15%が突然死とされています。1)
椎骨動脈解離
急に生じる首から後頭部にかけての強い痛みで、スポーツや首の動きがきっかけになることがありますが、必ずしも誘因がない場合もあります。椎骨動脈という、首から後頭部へ行く血管が避けて生じます。くも膜下出血や脳梗塞を発症することもあるため、早期の診断が必要です。日本での調査結果では、くも膜下出血合併率が58%、脳梗塞合併率が33%とされています。2)
可逆性脳血管攣縮症候群
入浴、排便、筋トレ、咳やくしゃみ、性行為、薬剤、女性ホルモンの変化などが誘因となり、突然の1-3分以内にピークに達する激しい痛みです。その後も断続的に頭痛を繰り返すようになり、片頭痛同様の閃輝暗点や吐き気・嘔吐、めまいなどを伴うこともあります。脳動脈が一時的に収縮して生じるもので、元々片頭痛のある方に生じる傾向があります。報告によって幅がありますが、脳梗塞の合併率が15〜30%とされており、慎重な経過観察が必要です。3)
※いずれも命に関わったり、後遺症を残す可能性もある危険な疾患であり、早急に受診が必要です。けいれんや意識の障害、手足の麻痺、言葉の障害などがある場合は、即座に救急車を依頼して救急病院を受診してください。
横浜脳神経内科における二次性頭痛の症例
くも膜下出血の症例
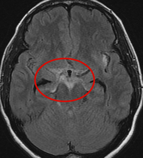
高血圧症のある40代の男性です。仕事中に突然後頭部を殴られたかのような激痛を覚え、職場からそのまま横浜脳神経内科を受診しました。MRI検査を行ったところ、

脳底槽という脳の隙間に、血液成分(白く写っている部分)を認めました。くも膜下出血を発症していることが分かり、救急車を依頼して専門病院へ搬送させていただきました。
椎骨動脈解離の症例
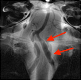
元々片頭痛のある50代の女性です。朝起きた際に、左の首に強い痛みを感じました。寝違えたかと思い、首を少し曲げたところ、痛みはさらに強くなりました。翌々日になっても痛みが続いていたため、横浜脳神経内科を受診しました。MRA検査を行ったところ、

左椎骨動脈(左の首から後頭部へ行く血管)が不規則に膨らんでおり、動脈瘤を形成していることが分かりました。
くも膜下出血を合併する危険性があるため、血管内治療のできる専門病院へ紹介させていただきました。
可逆性脳血管攣縮症候群の症例
元々片頭痛のある30代の女性です。スポーツジムで筋力トレーニングをしていた際、突然後頭部に激痛が走りました。翌日になっても痛みが続いていたため、横浜脳神経内科を受診しました。MRA検査を行ったところ、

脳底動脈(脳の中心部の血管)にくびれた部分と膨らんだ部分とがあり、可逆性脳血管攣縮症候群と診断しました。
投薬治療と慎重な経過観察の上、約3週間で症状は改善しました。
後頭部の頭痛をきたす疾患の比較表
← スクロールして確認できます →疾患名 痛みの性質 痛む場所 発症の速さ 主な特徴・随伴症状 緊急性 片頭痛 ズキズキと脈打つ 片側(両側もあり) 徐々に強くなる 吐き気、光・音過敏、閃輝暗点 低 緊張型頭痛 締め付けられる、重い 頭全体、後頭部 じわじわ続く 肩こり、首のこり、めまい 低 後頭神経痛 ピリッと走る電気痛 後頭部〜頭頂部 突発的(短時間) 頭皮に触れると痛い、首の動作で響く 低 くも膜下出血 バットで殴られたような激痛 頭全体 突然(一瞬で最大) 嘔吐、意識障害、けいれん 極めて高い 椎骨動脈解離 鋭い痛み、うなじの痛み 片側の後頭部〜首 比較的急激 吐き気、めまい、ふらつき 高い 可逆性脳血管攣縮症候群 雷鳴頭痛(激痛) 頭全体 突然(一瞬で最大) 激痛を数週間にわたり繰り返す 高い 危険な頭痛の見分け方・すぐに受診すべきサイン
- 突然、今までにない激しい痛み
- 吐き気、嘔吐、けいれん、意識障害、手足の麻痺、言葉の障害
- 痛みがどんどん強くなる
こうした症状がある場合は、自己判断せず速やかに専門医を受診してください。
後頭部頭痛のセルフケアと日常対策
緊張型頭痛、後頭神経痛の場合
- 首や肩のストレッチをこまめに行い、長時間同じ姿勢を避ける。背筋を伸ばし、肩をリラックスさせる事も大切です。
- 温かいタオルやカイロで首・肩を温めたり、入浴で筋肉をほぐしましょう。
- 市販の鎮痛薬を一時的に使用するのはOKですが、連用は避け、改善しない場合は医療機関へ相談しましょう。
片頭痛の場合
- 痛くなった時、痛む側の首の横を保冷材などで冷やすと効果的。
- 光や音、臭いで誘発されるので、暗めの静かな部屋で安静にする。
- 充分な睡眠と規則正しい生活週間が大事です。
片頭痛の対処法をご参照ください。
受診の目安と医療機関での対応
- 突然の激しい痛みや神経症状がある場合は、すぐに脳神経内科や頭痛外来を受診してください。
- 軽度でも1週間以上続く場合や、痛みが増す場合は早めに受診をお勧めします。
- 後頭部の頭皮に赤い発疹がある場合、帯状疱疹の可能性があるため早期の受診をお勧めします。
- 医療機関では、問診・診察・MRI検査を行い、薬物療法などの治療を行います
まとめ
後頭部の頭痛は原因によって対処法が異なります。危険なサインを見逃さず、自己判断せずに早めに医療機関を受診しましょう。セルフケアで改善する場合も、無理せず専門医に相談することが大切です。
参考文献
- 1) JJeffrey J Perry, Ian G Stiell, Marco L A Sivilotti, Michael J Bullard, Corinne M Hohl, Jane Sutherland, Marcel Émond, Andrew Worster, Jacques S Lee, Duncan Mackey, Merril Pauls, Howard Lesiuk, Cheryl Symington, George A Wells. Clinical Decision Rules to Rule Out Subarachnoid Hemorrhage for Acute Headache. JAMA . 2013 Sep 25;310(12):1248-55.
- 2) 後藤 淳, 脳動脈解離. 日内会誌 98:1311-1318, 2009.
- 3) Vasileios Tentolouris-Piperas, Loukas Lymperopoulos, Argyro Tountopoulou, Sophia Vassilopoulou, Dimos D Mitsikostas, Headache Attributed to Reversible Cerebral Vasoconstriction Syndrome (RCVS). Diagnostics (Basel). 2023 Aug 22;13(17):2730.
この記事は横浜脳神経内科医師が書いています。

-
【資格】
日本神経学会神経内科専門医・指導医
日本頭痛学会専門医・指導医
日本脳卒中学会専門医
日本内科学会認定内科医
身体障害者福祉法指定医
(肢体不自由、平衡機能障害、音声機能・言語機能障害、そしゃく機能障害、膀胱直腸機能障害)
【略歴】
1988年3月 千葉大学医学部卒業
1989年10月 松戸市立病院 救急部
1994年10月 七沢リハビリテーション病院
2002年4月 沼津市立病院 神経内科
2002年11月 長池脳神経内科開設
2012年11月 横浜脳神経内科開設





